Skip Menu
Continue
197 Third Avenue, (between 17th & 18th St.), New York, NY 10003
Home

197 Third Avenue
(between 17th & 18th St.)
New York, NY 10003
(212) 651-9957

Request An Appointment
Logo
  • Home
  • About
    • Dr. David Geen
    • Dr. Natasha Geen
    • Tour Our Office
    • Instructional Videos
  • Treatments
      • General Dentistry
      • Cosmetic Dentistry
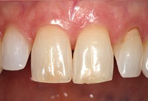
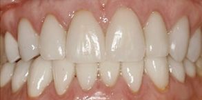
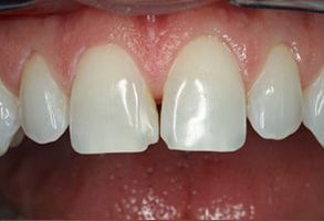
  • Before & After
  • Contact
  • Request An Appointment
    (212) 651-9957
    • Request Appointment

Dr. Geen is Great

Dr. Geen is a very talented dentist who takes pride in her work. I am so happy we have finally found a NYC dentist we like

Jennifer H.

Confidence to SMILE!

I am so impressed with your kindness, hospitality and talent. The world would be a better place if all doctors were this way. I have waited 35 years to fix my teeth. Words cannot express how happy I am with renewed confidence to SMILE! Thank you

Janel

Clean Modern Office

Sparkling clean office with all the latest technology bells and whistles. Very nice and knowledgeable staff. Added bonus: they have a great lip balm (not Vaseline) to protect lips during any work or cleaning.

Kellee J.